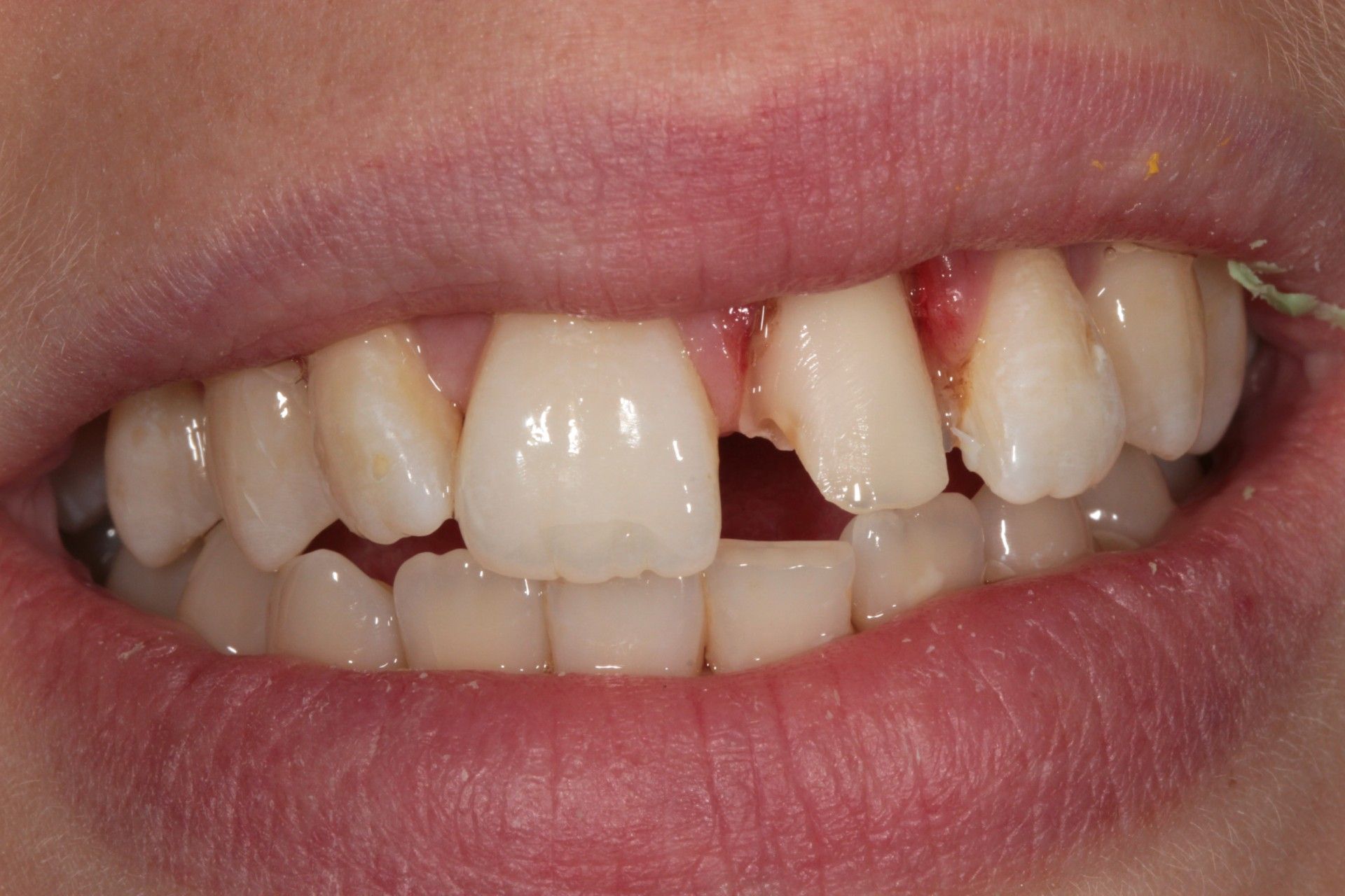
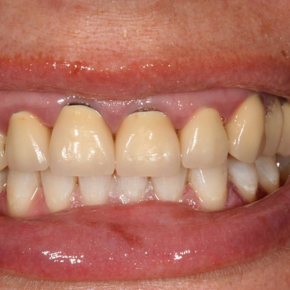
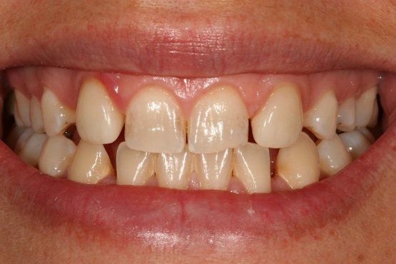
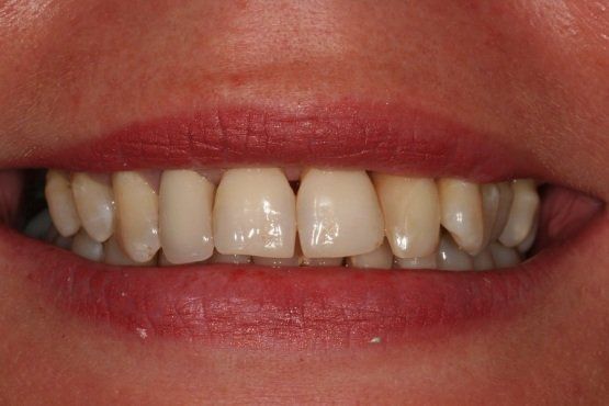
Galerie - Unsere moderne Zahntechnik aus Herdecke
Hier können Sie einige unserer Arbeiten direkt ansehen und sich selbst von unseren Leistungen überzeugen. Wir freuen uns täglich glückliche Patienten aus unserer Praxis gehen zu sehen und hoffen, dass auch Sie bald dazugehören werden!











